喜悅診所
最新消息
醫療團隊
專業醫師群
親切助理群
合格技工所
環境介紹
舒適休息空間
網路待診服務
兒童遊憩環境
數位影像服務
獨立診間環境
診療項目
蛀牙填補/補綴
根管治療
美容牙科
人工植牙
兒童牙科
齒顎矯正
牙周
口腔外科
顳顎關節類
舒眠牙醫治療
雷射診療應用
貼心提醒
拔牙術後須知
根管治療術後須知
複合樹脂填補術後須知
牙齒美白注意事項
假牙處置後須知
3D齒雕裝置後須知
植牙補骨術後須知
上顎竇提高術須知
交通資訊
診療項目
蛀牙填補/補綴
樹脂填補、牙齒敏感治療、精密鑲嵌體填補、固定牙橋及活動假牙。
根管治療類
一般根管治療。
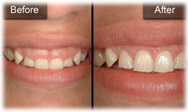
美容牙科類
冷光雷射美白、美容評估、美容瓷牙貼面、全瓷牙冠、噴砂美白、居家美白及美容牙冠延長術。
人工植牙類
人工植體植入術、軟組織移植術及硬組織再生術。
兒童牙科類
乳牙拔除、全口塗氟(六歲以下健保給付)、蛀牙填補、乳牙拔髓/斷髓及空間維持器。
齒顎矯正類
矯正評估、一般矯正、隱形矯正。
牙周類
基礎牙周治療及輔助牙周治療。
口腔外科類
一般恆齒拔除手術、阻生智齒拔除手術、牙冠延長、牙根尖切除術。
顳顎關節類
夜間磨牙咬合板及顳顎關節症候群診斷。
舒眠牙醫治療
無痛牙科治療新技術。
雷射診療應用
美容牙科類
冷光雷射美白、美容評估、美容瓷牙貼面、全瓷牙冠、噴砂美白、居家美白及美容牙冠延長術。
冷光雷射美白
美容瓷牙貼面
噴砂美白
美容牙冠延長術